இன்றைய காலகட்டத்தில் நகர்ப்புற பகுதிகளில் வசிப்பவர்களின் பிள்ளைகள் பெரும்பாலும் நீச்சல் பயிற்சிக்காக செல்வதினை வழக்கமாக கொண்டுள்ளனர். சில வசதிமிக்க பாடசாலைகளில் இவர்களுக்கு விசேட நீச்சல் பாடநெறியுடன் கூடிய நீச்சல் பயிற்சி உண்டு. இதற்கெல்லாம் விசேட கட்டணங்கள் அறவிடப்படும். இதனைவிட தனியாரின் பல ஸ்போர்ட்ஸ் கிளப்புகள் நீச்சல் வசதியுடன் உண்டு. இவற்றில் பெருமளவு பணத்தினை கட்டி உறுப்பினர் ஆகினால் நீச்சல் தடாகங்களை பயன்படுத்தலாம். இவ்வாறே கடந்த வாரத்தில் கொழும்பின் பிரபலமான தனியார் ஸ்போர்ட்ஸ் கிளப்பில் நீந்திய 12 வயதுமிக்க நான்கு சிறுவர்கள் அதிகளவான குளோரின் வாயுவினை உட்சுவாசித்ததன் காரணமாக வைத்தியசாலையில் அனுமதிக்கப்பட்டார்கள். அவர்களில் இருவர் அதிதீவிர சிகிச்சை பிரிவில் சிகிச்சை பெற வேண்டிய நிலைமை ஏற்பட்டது. அத்துடன் ஒரு சிறுமிக்கு இரு நுரையீரல்களும் செயல் இழந்ததால் Extracorporeal membrane oxygenation (ECMO) என்ற உயிர் காக்கும் சிகிச்சை அளிக்க நேரிட்டது.
அதிகளவானோர் நீச்சல் தடாகங்களை பயன்படுத்தும் பொழுது அவர்களின் உடலில் இருந்து வியர்வை, எச்சில், மயிர், சிறுநீர்.. போன்றன நீரில் கலப்பட சாத்தியம் உள்ளது. இதனால் அங்குள்ள நீர் ஆனது கிருமி நீக்கம் செய்யவேண்டியுள்ளது. மேலும் வெயில் காலங்களில் நீச்சல் தடாகங்களுக்கு நீர் பற்றாக்குறை காரணமாக அடிக்கடி நீர் ஆனது கிருமி நீக்கம் செய்யவேண்டியுள்ளது. சாதாரணமாக நீச்சல் தடாகத்தில் உள்ள நீரானது ஆனது குளோரின் வாயுவினால் சுத்திகரிக்கப்படும். இச்செயற்பாடானது மனிதர்கள் மூலோமோ அல்லது இயந்திரங்கள் மூலோமோ நடைபெறும். இதன் பொழுது குளோரின் வாயுவானது நீருடன் தாக்கம் புரிந்து hypochlorous acid (HOCl), அல்லது sodium or calcium hypochlorite (NaOCl or Ca(OCl)2 போன்றவற்றை தோற்றுவிக்கும். இவ்வாறு தோன்றும் hypochlorous acid (HOCl) தான் கிருமிகளை தொற்றுநீக்கம் செய்ய உதவுகின்றது. இவ்வாறு நீச்சல் தடாகம் குளோரின் வாயுவாக மற்றும் சோடியம் அல்லது கல்சியம் உப்பாக (ஹைப்போ குளோரைடு) பாவிக்கப்பட்டே சுத்திகரிக்கபடும். இங்கு இரசாயனத் தாக்கம் மூலம் தோன்றும் ஹைப்போ குளோரைடு தான் ஓட்ஸியேற்றம் மூலம் கிருமிகளை கொல்லவும் தடாகத்தில் உள்ள ஏனைய சேதன கழிவுகளை இல்லாமல் செய்யவும் பயன்படும். இவ்வாறு ஹைப்போ குளோரைடு சேதன கழிவுகளை இல்லாமல் செய்யும் பொழுது பல்வேறுபட்ட கேடு விளைவிக்க கூடிய இரசாயன பொருட்கள் உருவாகும் இவை disinfection by-products (DBPs) என்றழைக்கப்படும். இவ்வாறு உண்டாகிய DBPs உம் குளோரினும் மனிதனினுள் சுவாசம், தோல் மற்றும் வாய் மூலம் உட்செல்லும்.
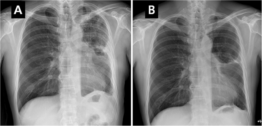
இனி நாம் குளோரின் வாயு எமது உடலில் ஏற்படுத்தும் தாக்கம் பற்றி பார்ப்போம். முக்கியமாக குளிரின் வாயு ஆனது எமது சுவாசத் தொகுதி மற்றும் கண் என்பவற்றினை தாக்கி கடுமையான எரிவினை ஏற்படுத்தும். மேலும் உடசுவாசிக்கும் பொழுது உட் சென்று நுரையிரலில் கடுமையான அலற்சியினை ஏற்படுத்தி உயிரிழப்பினை ஏற்படுத்தும். பாவிக்கும் குளோரின் ஆனது நீரினுள் சுயாதீனமாகவோ அல்லது அதனோடு இணைந்த உப்பாகவோ இருக்கும். கடுமையான வெப்பநிலை மற்றும் அளவுக்கு அதிகமான பாவனை என்பவற்றின் மூலம் குளோரின் வாயு நிலையில் நீர்ப்பரப்பின் மேல் இருக்கும். இவ்வாறு இருக்கும் வாயு ஆனது சுவாசம் மூலம் மனிதனை அடையும் இதனால் அவர்கள் கடுமையான இருமல், தொண்டை நோ, சுவாசிக்க கடினமான தன்மை என்பவற்றினால் அவதியுறுவர். மேலும் நுரையிரலில் pneumonitis என்ற கடுமையான அலற்சியினை ஏற்படுத்தி உயிரிழப்பினை ஏற்படுத்தும்.

குளோரின் வாயு ஆனது உலக மகா யுத்த காலப்பகுதியில் இரசாயன ஆயுதமாக பாவிக்க பட்டது எனினும் உடனடியாக கொல்லும் திறனற்றமையினாலும் வேறு பல வினைத்திறனான வாயுக்கள் கண்டுபிடிக்க பட்டமையாலும் படிப்படியாக யுத்த பயன்பாட்டில் இருந்து இல்லாமல் போனது.
